Nuestros Tratamientos

Cuidamos la Salud Dental de toda su Familia

ODONTOPEDIATRIA

Atendemos las necesidades odontológicas preventivas y correctivas que los niños puedan requerir en su desarrollo.

ODONTOPEDIATRÍA

ORTODONCIA

Una amplia gama de tratamientos de ortodoncia: Ortodoncia estética. Ortodoncia acelerada. Ortodoncia invisible. Ortodoncia para niños.

ORTODONCIA

Odontología estética

Tratamientos que permiten cambiar la forma, el tamaño, la posición y el color de los dientes. - Blanqueamiento dental, carillas dentales.

Odontología estética

ENDODONCIA

La endodoncia se utiliza para conservar los dientes sin necesidad de extraerlos.

ENDODONCIA

SEDACIÓN CONSCIENTE

Para pacientes con miedo al tratamiento dental, a las agujas, niños nerviosos o ansiosos

SEDACIÓN CONSCIENTE

ODONTOLOGÍA DE BEBÉS

La odontología infantil se ocupa de la salud bucodental de los niños desde el nacimiento hasta los tres años de edad, cuando han erupcionado los dientes de leche.

ODONTOLOGÍA DE BEBÉS

Pulpotomía y pulpectomía

Algunas causas son traumatismos dentales o caries extensas que afectan a las capas de esmalte y dentina, se realiza el tratamiento del nervio del diente primario. Este tratamiento del diente molar o de leche puede ser parcial (pulpotomía) o total (pulpectomía).

Pulpotomía y pulpectomía

SELLANTES Y RESINAS

Los selladores se aplican para ayudar a prevenir la caries dental.

SELLANTES Y RESINAS

¿Buscas un odontólogo para tu hijo(a)?

WhatsApp

+51 17482 911

ORTODONCIA CORRECTIVA

ORTODONCIA INTERCEPTIVA

ORTODONCIA PREVENTIVA

ODONTOLOGIA DE BEBÉS

PROFILAXIS DENTAL

FLUORIZACIÓN

SELLANTES DENTALES

TRATAMIENTOS PULPARES

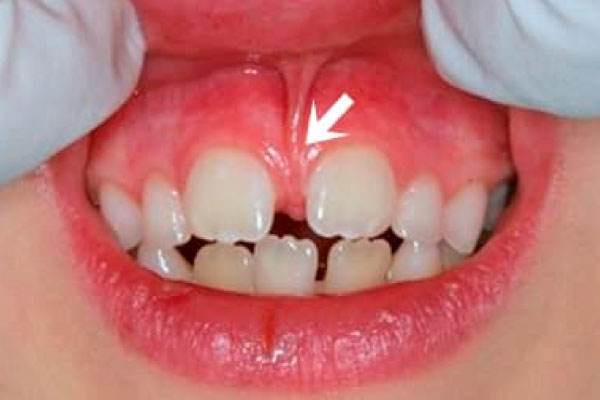
FRENECTOMIA

EXTRACCIÓN DENTAL

PACIENTES GESTANTES

MANTENEDOR DE ESPACIO

EXTRACCIÓN DE SUPERNUMÉRICOS

RESTAURACIÓN ESTÉTICOS

OPERCULECTOMIAS

Odontopediatria

Atención Exclusiva a Niños y Bebes.

Contamos con una experta en odontopediatría que le ofrecerá el mejor tratamiento para niños. La Odontopediatria se encarga de detectar posibles anomalías en la posición de los maxilares o dientes para remitir al ortodoncista, y de hacer un tratamiento preventivo y restaurador en caso de necesitarlo.

Tratamientos Preventivos:

  • Técnicas de higiene.
  • Fluorización.
  • Selladores.

Ortodoncia

Si necesita un tratamiento de ortodoncia, estaremos encantados de atenderle.

Ortodoncia es una especialidad de la odontología que se encarga de la corrección de los dientes y huesos posicionados incorrectamente. Nos especializamos en:

  • Ortodoncia Estética.
  • Ortodoncia Acelerada.
  • Ortodoncia invisible.
  • Ortodoncia en niños.

SEDACIÓN CONSCIENTE

Si necesita una sedación, estaremos encantados de atenderle.

La sedación consciente en odontopediatría es una técnica que facilita la relajación del paciente mientras se realiza el tratamiento odontológico y tal como su nombre lo indica, el paciente permanece consciente durante el tiempo que dura el tratamiento.

¿Buscas un odontólogo para tu hijo(a)?

WeCreativez WhatsApp Support
Nuestro equipo de atención al cliente está aquí para responder sus preguntas.
👋 Atención vía Whatsapp